即刻种植及修复:让种植牙的过程变得更快更好
随着种植牙技术的快速普及,种植牙已经成为修复牙齿缺失的常用治疗技术。然而,常规种植牙技术所需疗程较长,缺失牙的种植手术常常有几个月的“等待期”,等待拔牙部位的牙槽骨恢复后才能开始,为了让患者更快更好地得到治疗,即刻种植及修复技术应运而生。接下来,就让这篇文章为您详细科普有关即刻种植及修复的相关知识。
一、即刻种植及修复的定义


常规种植通常在患者拔除患牙3至6个月,待牙槽窝完全恢复后再进行种植体植入手术。然而,这对于急需修复缺失牙的患者而言,等待的过程十分煎熬。而即刻种植则是在患者拔除牙根的同时,立即将种植体植入牙槽骨,一次性完成手术,并即刻佩戴临时修复体。
二、即刻种植及修复的优势
(1)显著缩短治疗疗程,降低二次手术带来的损伤,有效减轻患者痛苦。
(2)可短时间内恢复牙齿的美观度和咀嚼功能,避免缺牙带来的尴尬。
(3)能有效避免牙槽嵴的吸收,有利于保护牙槽骨的宽度以及高度。
(4)利用临时冠材料对软组织进行塑形,能够最大程度地保持患者的牙龈形态和轮廓,获得良好的美学效果。
三、即刻种植的适用范围
相比较于常规种植而言,即刻种植不仅要求医生具备精湛的技术水平,对患者自身状况也有着严格的条件限制,针对适用范围主要涉及以下两点:
(1)牙槽骨情况
病人应具备充足的牙槽骨骨量,骨壁的厚度需在1mm之上,且牙槽骨无明显缺损,这样才能够获得比较良好的初期稳定性。此外,患者的牙龈生物性应为中厚龈型,以降低种植后期出现牙龈退缩的概率。

(2)牙周软组织情况
病人的牙周组织需要保证健康,若存在牙周疾患、软组织炎症、根尖周炎等问题,需先行治疗,而后再考虑种植。
四、即刻种植及修复完成后的护理要点
(1)伤口护理
种植完成后,患者需咬紧伤口处的棉纱约40~60分钟。在术后48小时内,对患侧进行冰敷,每次约20分钟。若术区出现瘀斑、肿胀,则需要在48小时后改为热敷。通常,肿胀和淤血的情况会在术后3至5天消退。
(2)日常护理
①术后2小时可适量饮水,手术当天以温凉的流质饮食为主;
②术后24小时内不可漱口、刷牙、吐唾液等,防止渗血情况的发生。勿用舌头舔舐伤口位置,以免影响创口愈合;
③术后需要注意休息,避免参加剧烈运动,同时需要戒烟、戒酒;
④在恢复期间,需要严格注重口腔卫生护理,正确使用牙线清理齿缝间的食物残渣,餐后漱口,减少口腔食物残渣残留,预防细菌感染;
⑤保持临时修复体的清洁卫生。
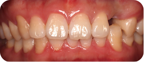
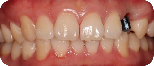
我院种植修复中心吴业淮医生的即刻修复病例:




口腔种植修复中心介绍

中山市口腔医院种植修复中心专注于口腔种植和修复临床治疗和教学科研工作,是中山市内最早开设,具有雄厚的技术力量和先进的医疗水平的种植修复专科。种植修复中心拥有一支高学历、梯队建设良好、具有较高临床诊疗水平和创新能力的高素质学科团队。目前中心现有医生23人,其中高级职称8人,中级职称6人,具有博士学位者2人,具有硕士学位者15人。
在诊疗技术方面,种植修复中心为患者提供诸如“拔牙后即刻修复、上颌窦底提升术、上颌窦倾斜种植术、复杂软硬组织增量技术”等高难度种植修复技术。近五年来,科室团队平均每年种植手术完成量超1000余例,平均种植量超1800颗。种植修复中心不仅扎根临床、兢兢业业,且与时俱进,以卓越的技术、精细的工艺和无尽的爱心,照亮了患者重获笑容的道路。
扫一扫 手机端浏览








