【口腔科普】牙周病科常见疾病的介绍及预防
牙周病,即发生在牙体支持组织的慢性感染性疾病。我们用一棵树来比喻一颗牙齿,那么,牙体支持组织即为其根部的土壤,当土壤受到侵蚀,水土流失,树根就会暴露,导致树木松动,甚至倒下。牙齿也一样,那么,是什么造成“水土流失”呢?又有怎样的防治方法呢?让我们带着这些疑问去了解这个既熟悉又陌生的疾病吧。


1.牙周病是怎样引起的?
广义的牙周病即包括牙龈疾病及牙周疾病,我们常见的牙周疾病主要有牙龈炎及慢性牙周病,二者均是由牙根面的牙结石及其附着的菌斑引起牙周组织的慢性炎症。因此及时清除牙结石及菌斑是防治牙周疾病的重要手段。

2.牙周病有哪些症状?
牙龈炎早期可无任何症状,或仅有少量牙龈出血、口腔异味、牙龈稍红肿,如不及时治疗,则有可能发展成牙周病,并出现牙龈退缩、牙齿咀嚼无力、牙齿松动或牙周溢脓,甚至牙齿松动脱落。

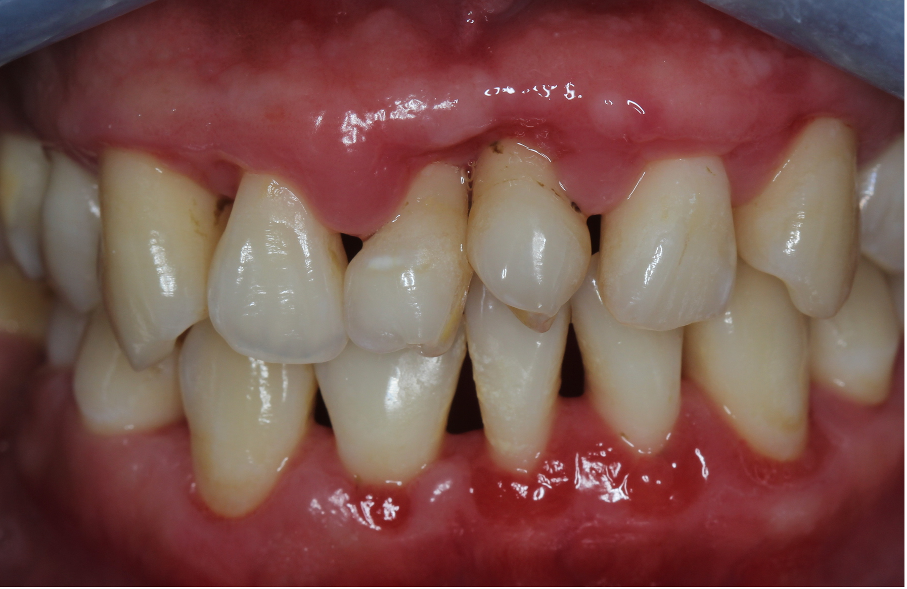
A.牙周炎早期牙龈出血,口腔异味;
B.牙周炎中期牙龈红肿伴牙龈退缩;
C.牙周炎中期牙龈增生出血;
D.牙周炎晚期牙齿松动,移位,牙缝变大,咀嚼无力,甚至牙齿脱落。
3.牙周病该如何治疗?
单纯牙龈炎一般通过龈上洁治及抛光(俗称洗牙)即可治疗,若为早期牙周炎(牙槽骨吸收不明显,牙齿无松动),在龈上洁治的基础上再行龈下刮治和根面平整,一般治疗效果也较好,但如果已发展到中后期牙周炎(牙龈退缩明显,牙槽骨吸收,牙齿松动),则在完成上述治疗后可能还需行根管治疗、调整咬合、牙周手术治疗或拔除不能保留的患牙,待牙周炎彻底控制后方可行种植或修复治疗。因牙周病是个终身疾病,非活动期的牙周病维护治疗同样重要,菌斑的控制是维护期的关键。总之,牙周疾病早期可治愈,中期可控制,晚期在完善的牙周治疗后也可维持,避免并发症的发生。牙周基础治疗包括个性化口腔卫生宣教,龈上洁治、龈下刮治、龈上、龈下喷砂、松牙固定术等,开展的手术包括牙龈切除及成形术、牙周翻瓣术、牙周植骨术、拔牙后位点保存术、膜龈手术等。近年来科室引进了口腔显微镜、微创超声治疗仪,使得治疗更加微创舒适,针对炎症较为严重、出血多,甚至有牙周脓肿的患者,配合使用二极管激光综合治疗仪效果更加显著。

全口龈上洁治、龈下刮治及根面平整前后
4. 牙周炎治疗程序:
1.龈上洁治(俗称洗牙):即用超声技术彻底清除暴露于牙龈缘附近的牙石,并抛光牙面。这是牙周系统治疗第一步,也是每个牙周病患者必须经历的一个环节,还是牙周维护治疗阶段的最重要手段。
龈下刮治和根面平整:通常用龈下超声技术或Gracey刮治器去除根面牙石、菌斑及毒素,是整个牙周治疗中最关键最主要的步骤,一般要在局部麻醉下进行。
2.龈下刮治和根面平整:通常用龈下超声技术或Gracey刮治器去除根面牙石、菌斑及毒素,是整个牙周治疗中最关键最主要的步骤,一般要在局部麻醉下进行。
3.根管治疗、拔牙和咬合调整:牙周-牙髓联合病变患牙需行根管治疗,拔除破坏严重的患牙和废用牙,并对咬合关系进行调整以使上下牙均匀接触和受力。
4.对于复杂病例,在上述基础治疗1~3个月后还应进行牙周手术治疗,根据不同程度的牙周病变采用翻瓣刮治术、牙周植骨术等,以彻底控制病情。
5.个别复杂病例,待牙周病情彻底稳定后,如余留牙中多个牙松动,需行牙周夹板修复治疗。目前科室使用多种牙周夹板固定技术,其中Super-Bond 超级粘结技术在牙周夹板固定中使用广泛,操作简便,美观舒适,疗效确切
6.维护期治疗:由于牙周炎是一个容易复发的慢性疾病,所以对它的治疗也需要维持终身。一般要求3~6个月定期复诊行龈上洁治(洗牙),对于缺失牙齿在牙周稳定的情况下应尽快修复,恢复咬合功能。

全口超声洁治前

全口超声洁治后
扫一扫 手机端浏览








